Lấy cao răng là một bước chăm sóc răng miệng đơn giản nhưng lại thường bị nhiều người bỏ qua. Không ít khách hàng chỉ đi nha khoa khi đã xuất hiện đau nhức, chảy máu chân răng hoặc hôi miệng kéo dài. Khi đó, tình trạng răng miệng thường đã tiến triển nặng hơn.
Hậu Quả khi không lấy cao răng là gì?
1. Viêm nướu – chảy máu chân răng

– Cao răng là nơi tích tụ vi khuẩn. Khi để lâu ngày, vi khuẩn sẽ gây kích ứng nướu, dẫn đến:
– Nướu sưng đỏ Dễ chảy máu khi đánh răngCảm giác đau nhẹ khi ăn nhai
-Đây là giai đoạn đầu nhưng rất nhiều người thường bỏ qua.
2. Hôi miệng kéo dài

Vi khuẩn trong cao răng phân hủy thức ăn, tạo ra mùi khó chịu.Dù bạn có đánh răng thường xuyên, nếu không lấy cao răng thì tình trạng hôi miệng vẫn không cải thiện.
3. Viêm nha chu – tiêu xương răng
Nếu không xử lý sớm, viêm nướu sẽ tiến triển thành viêm nha chu:
Phá hủy mô nâng đỡ răngTiêu xương hàmRăng dần lung lay
Đây là nguyên nhân hàng đầu gây mất răng ở người trưởng thành.
4. Ảnh hưởng thẩm mỹ nụ cười

Cao răng lâu ngày sẽ khiến răng:
Ố vàng, xỉn màuXuất hiện mảng bám đen ở chân răng
Điều này khiến nụ cười kém tự tin, đặc biệt khi giao tiếp.
5. Tăng nguy cơ mất răng sớm
Khi xương và nướu bị phá hủy, răng không còn được nâng đỡ chắc chắn.Nếu không điều trị kịp thời, việc mất răng là hoàn toàn có thể xảy ra.
Tại Sao Nên Lấy Cao Răng Tại Nha Khoa Sao Việt?

Vậy điều gì khiến nhiều khách hàng lựa chọn Nha khoa Sao Việt để lấy cao răng định kỳ?
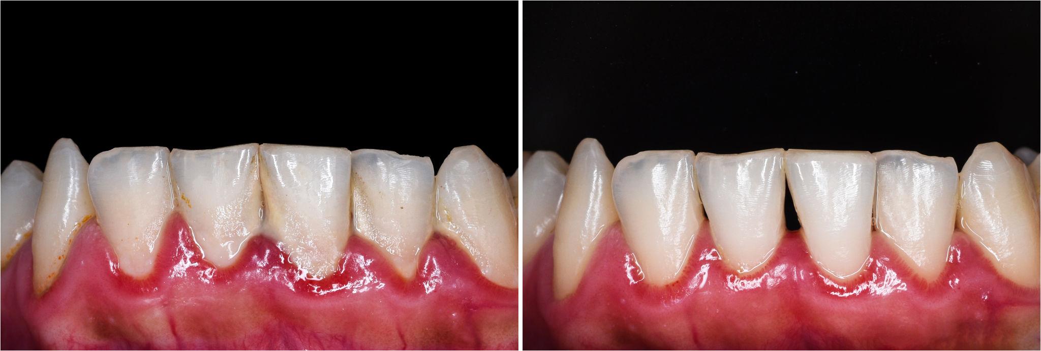
1. Làm sạch hiệu quả – Không bỏ sót cao răng dưới nướu
Tại Nha khoa Sao Việt, quy trình lấy cao răng được thực hiện bằng máy siêu âm hiện đại, Công nghệ hiện đại thổi cát muối AirFlow giúp loại bỏ:
- Cao răng trên bề mặt răng
- Cao răng nằm sâu dưới nướu – nguyên nhân chính gây viêm nha chu
Điều này giúp làm sạch toàn diện, không chỉ “sạch nhìn thấy” mà còn sạch ở những vùng khó tiếp cận.
2. Hạn chế ê buốt – Trải nghiệm nhẹ nhàng
Nhiều khách hàng lo lắng lấy cao răng sẽ đau. Tuy nhiên, với kỹ thuật đúng và thiết bị hiện đại:
- Cảm giác ê buốt được giảm tối đa
- Thời gian thực hiện nhanh chóng, chỉ từ 20–30 phút
Đặc biệt phù hợp cả với những người nhạy cảm răng miệng.
3. Bác sĩ kiểm tra tổng quát răng miệng miễn phí
Không chỉ dừng lại ở việc làm sạch, khách hàng còn được:
- Kiểm tra tình trạng răng – nướu
- Phát hiện sớm sâu răng, viêm lợi, viêm nha chu
- Tư vấn hướng điều trị kịp thời
Giúp phòng ngừa các vấn đề nghiêm trọng về sau.
4. Quy trình vô trùng – An toàn- Nhẹ Nhàng
Nha khoa Sao Việt luôn tuân thủ nghiêm ngặt quy trình vô trùng:
- Dụng cụ được xử lý theo tiêu chuẩn
- Không gian phòng khám sạch sẽ, đầy đủ trang thiết bị
Đảm bảo an toàn, thoải mái, yên tâm cho từng khách hàng khi điều trị.
5. Chi phí hợp lý – Có ưu đãi định kỳ

Dịch vụ lấy cao răng tại phòng khám có mức giá phù hợp, thường xuyên có chương trình:
- Giảm giá khi đặt lịch trước
- Combo chăm sóc răng miệng tiết kiệm
Giúp khách hàng dễ dàng duy trì thói quen chăm sóc định kỳ.
